x

公司新聞

聯系人:俞經理

電話:025-85581709

手機:13809042500

服務號二維碼

掃描二維碼

關注科進公眾號

企業資訊

所在位置:首頁  新聞動態 企業資訊

經顱多普勒對顱內動脈瘤的診斷價值

作者:南京科進實業有限公司    瀏覽:432    發布時間:2015/1/8 16:37:04

經顱多普勒TCD)是利用超聲多普勒效應檢測顱內腦底主要動脈血流動力學及血流生理參數的一項無創性檢查方法。據報道約有80%的顱內動脈瘤分布于腦底動脈環的前半部,而頸內動脈,大腦前動脈,大腦中動脈,前后交通動脈正處于經顱超聲可探測的區域內,這是TCD 檢測顱內動脈瘤的解剖學基礎。

 

顱內動脈瘤是指腦動脈的局部性異常擴大,多在腦底動脈的分叉處或分支的夾角向外突出,多呈囊狀。TCD對顱內動脈瘤的總檢出率為67 %,動脈瘤>1cm的檢出率為82 %。TC D 對較大動脈瘤的檢測有其特征性表現,其典型表現為:瘤體內血流速度明顯低于載瘤動脈血流速度,其收縮峰陡峭或多峰不整,舒張期末流速極低或斷流,PI 值增高,多為雙向血流,聲頻低鈍,似撞擊樣轟鳴音。

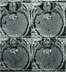
經顱多普勒

頸內動脈虹吸段巨大動脈瘤(約3cm ×3cm

 

TCD 檢查顱內動脈瘤,可以了解動脈瘤部位,大小,瘤體內血流,頻譜特征,脈動指數,載瘤動脈血流速度等。其作為一種無創的腦血管病檢查手段,它摒棄了傳統腦血流圖的不準確性和腦血管造影的有創性,亦為CT 、MRI 等現代影像技術提供了腦血管血流動力學參數,成為影像診斷的重要佐證,利于病情隨診和篩選患者,因而對腦血管病診斷、療效評估有重要價值,也是腦血管病血流動力學研究不可缺少的設備之一。 

 

 

上一篇:哪種骨密度測量方法更好

下一篇:超聲經顱多普勒血流分析儀KJ-2V5型推薦

標簽導航:骨密度儀兒童骨密度儀骨密度測定儀超聲經顱多普勒血流分析儀超聲骨密度檢查儀器動脈硬化檢測儀人體成分分析儀雙能X射線骨密度儀